Se produce un derrame cerebral cuando el flujo sanguíneo no llega adecuadamente al cerebro. Esto ocurre cuando un vaso sanguíneo se rompe o se bloquea, impidiendo que el oxígeno de la sangre llegue a las células del cerebro. Dependiendo del tipo de derrame que se padezca el médico prescribirá uno u otro tratamiento, atendiendo a las necesidades de cada paciente.
En el mundo occidental, el derrame cerebral es la tercera causa de muerte y una de las que más provoca la invalidez severa en adultos.
Qué es un derrame cerebral
Un derrame cerebral se da cuando el flujo sanguíneo de una parte del cerebro se interrumpe debido a que un vaso sanguíneo se ha roto o bloqueado, lo que impide la óptima llegada de sangre. Cuando esto ocurre, las células del cerebro no reciben el oxígeno y los nutrientes necesarios y, por ende, pueden llegar a morir dañando profundamente el cerebro.
Tipos de derrame cerebal
Existen dos tipos de derrames cerebrales: el isquémico y el hemorrágico.
- Derrame cerebral isquémico. Ocurre cuando un vaso sanguíneo se bloquea o restringe el paso de la sangre, dado que las arterias se estrechan o se bloquean mediante coágulos de sangre más grandes de lo normal o la formación de placas ateroscleróticas.
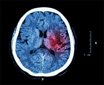
- Derrame cerebral hemorrágico. se trata de un accidente vascular que ocurre cuando un vaso sanguíneo cerebral se daña o se rompe, lo que provoca que la sangre se escape y se derrame por el cerebro, provocando una hemorragia intracraneal que suele dañar las membranas que rodean el órgano.
Causas
Conociendo los dos tipos de derrame cerebral, podemos determinar tres causas principales que provocan este accidente:
- Trombo o endurecimiento de las arterias. Ocurre en personas con hipertensión, diabetes o altos niveles de colesterol en sangre. En este caso, se forma un coágulo de sangre dentro del vaso sanguíneo de,l cerebro que provoca el derrame cerebral isquémico.
- Embolia cerebral. El émbolo o coágulo sanguíneo se desprende desde otras partes del cuerpo y circula con libertas hasta que llega a una arteria estrecha por la que no se puede pasar. Así, se provoca la obstrucción de la arteria que impiden que los vasos irriguen la sangre necesaria al cerebro.
- Hemorragia intracraneal. Esta causa provoca un 20% de los derrames cerebrales. Se trata de la rotura de los vasos sanguíneos que ocasionan el esparcimiento de sangre por todo el cerebro. La rotura puede darse por hipertensión, endurecimiento o por la inflamación de los vasos conocido como aneurisma cerebral.
No obstante, además de estas causas principales existen otros factores de riesgo, muchos de ellos inevitables, que pueden desencadenar un derrame cerebral:
- Edad: cuanta más edad más propensos somos de sufrir un derrame cerebral.
- Sexo: se ha demostrado que los hombres padecen más ataques del sistema circulatorio.
- Embarazo: tanto durante la gestación como el post-parto la madre tiene más probabilidades de sufrir un derrame.
- Genética: si tus progenitores han padecido un derrame cerebral tú eres más vulnerable de sufrirlo en un futuro. También se ha demostrado que existen ciertas nacionalidades que lo padecen con mayor frecuencia dado su dieta y su estilo de vida, como los estadounidenses, afroamericanos, asiáticos y mexicanos.
- Problemas del corazón: nacer con el corazón débil o tener una frecuencia cardíaca alterada (fibrilación auricular) provoca el 15% de los derrames cerebrales.
- Otras enfermedades: el cáncer, la artritis o las enfermedades relacionadas con el riñón pueden influir a la larga a padecer un derrame cerebral.
No obstante, si existen otros factores de riesgo que sí se pueden controlar y modificar. A los que más debes prestar atención son:
- Nivel de colesterol alto.
- Ansiedad y estrés.
- Obesidad.
- Tabaquismo o alcoholismo.
- Inactividad física.
Síntomas del derrame cerebral
 
El cuadro sintomatológico que puede presentar un derrame cerebral es variado y aunque cada paciente puede experimentar un síntoma u otro de forma diferente, podemos resumir las señales del accidente cerebral con carácter repentino en:
- Confusión.
- Dificultades para hablar o para entender lo que nos dicen (dificultad de gestión de la información).
- Mareos.
- Problemas de equilibrio y coordinación de movimientos.
- Problemas repentinos a la hora de caminar o moverse en general.
- Entumecimiento de cara o extremidades (brazos o piernas), especialmente de tan solo un lado del cuerpo.
- Fuertes dolores de cabeza.

Aunque estas son señales de aviso frecuentes, en muchas ocasiones el derrame puede producirse sin previo aviso. Los síntomas de un derrame cerebral pueden parecerse a otros problemas médicos, pero no deben pasarse por alto si pasa por alguno de los estados anteriores. Asimismo, existen otros síntomas menos frecuentes pero que también indican un accidente cerebral:
- Accidente Isquémico Transitorio, es decir, un pequeño derrame que puede durar hasta 24 horas.
- Pérdida de la conciencia (desvanecimiento, convulsiones, confusión…).
- Náuseas, vómitos o fiebres repentinas que no se relacionen con enfermedades de carácter vírico.
Diagnóstico y tratamiento
Si se han presentado algunos síntomas como los que se han comentado anteriormente, se deberá acudir inmediatamente al médico para que realice las pruebas necesarias para otorgar un diagnóstico específico. Para poder llevar a cabo esta evaluación y determinar si el derrame cerebral es hemorrágico o isquémico, para iniciar uno u otro tratamiento, los doctores suelen realizar las siguientes pruebas médicas:
- TAC: mediante los rayos X y las fotografías del interior del cuerpo se determinará si se ha sufrido un accidente y si éste ha sido provocado por un coágulo o por un derrame de sangrado en el cerebro.
- RMN: mediante los pulsos de radiofrecuencia y los campos magnéticos se obtienen imágenes de los órganos que permite analizar el estado de los vasos sanguíneos cerebrales y evaluar daños.

Además de estas dos pruebas específicas, el diagnóstico también estará basado en análisis de sangre, electrocardiograma, ultrasonido de la carótida y angiografía cerebral.
El derrame cerebral se considera una emergencia médica, por lo que iniciar el tratamiento cuanto antes puede salvar vidas y reducir el riesgo de sufrir una parálisis o invalidez, que es una de las graves consecuencias de los derrames. Para adecuarse al tratamiento se debe distinguir entre el tipo de derrame que ha sufrido el paciente.
Tratamiento derrame cerebral isquémico
Lo primero que se prescribirá en caso de haber padecido un derrame cerebral isquémico producido por la obstrucción de los vasos sanguíneos por causa de coágulos de sangre será un medicamento anticoagulante, que ayude a disolver los coágulos y permita restablecer el flujo sanguíneo en el área dañada del cerebro. Este tipo de fármacos tan solo pueden ser administrados durante las dos primeras horas del inicio del derrame, por lo que prestar atención a los síntomas en este caso será más que importante. Otros medicamentos que suelen actuar como anticoagulantes son la aspirina, la warfarina, la heparina o el clopidrogel.
Tratamiento derrame cerebral hemorrágico
El tratamiento específico para un accidente cerebral de tipo hemorrágico consiste en reducir la presión del cerebro. En estos casos es frecuente recurrir a la cirugía a fin de remover la sangre vertida alrededor del cerebro y reparar los vasos dañados.
Después de ser víctima de un derrame cerebral, sea del tipo que sea, los pacientes deberán recibir sesiones de rehabilitación que les ayude a sobreponerse de las parálisis y que les permita reactivar la actividad cerebral adecuadamente. Además, el médico tomará medidas dentro de los tratamientos que ayuden a prevenir otro derrame cerebral, que incluyen el control o la eliminación de todos aquellos factores de riesgo que son modificables como el tabaquismo, el alcoholismo, la obesidad o los niveles de colesterol en sangre, entre otros.
En caso de dudas, recurre siempre a tu médico especialista.
 
 